Behandlungsablauf
Beratung
Selbstverständlich werden Sie in unserer Praxis ausführlich und kompetent zu allen kieferorthopädischen Fragestellungen beraten. Es werden Ihnen verschiedene Behandlungswege und Möglichkeiten aufgezeigt.
Das erste Beratungsgespräch ist für Sie natürlich kostenfrei.
Planung
Die sorgfältige Auswertung der erstellten Behandlungsunterlagen stellt die Grundlage für eine genaue Planung Ihrer kieferorthopädischen Behandlung dar.
Hierbei wird der grundsätzliche Behandlungsablauf und damit auch die Reihenfolge der kieferorthopädischen Apparaturen festgelegt.
Eingliederung der Behandlungsgeräte
Mit der Eingliederung der Behandlungsgeräte, festsitzend oder herausnehmbar, beginnt die aktive Behandlung.
Hierbei erhalten Sie natürlich detaillierte Informationen bezüglich Pflege und Handhabung.
Behandlungsverlauf und Behandlungsdauer
Voraussetzung für kieferorthopädische Behandlungen ist die Tatsache, dass Zähne sich durch Druck bewegen lassen. Dabei spielt es erst einmal keine Rolle, ob der Druck über eine festsitzende oder herausnehmbare Zahnspange auf die Zähne ausgeübt wird.
Zähne werden letzten Endes dadurch bewegt, dass sich das Knochenfach, in dem die Zahnwurzeln stecken, sowie der Zahnhalteapparat, (das sind die Fasern, die die Zahnwurzeln in ihrem Knochenfach verankern) umbauen. An diesem Umbau sind unterschiedliche, mikroskopisch kleinste Zellen beteiligt.
Auch bei optimalen Arbeitsbedingungen dieser Zellen - dazu gehört eine gut gepflegte, bakterienarme Umgebung - schaffen diese Zellen nur wenige mm an Umbauprozessen in vielen Monaten.
Das erklärt, warum kieferorthopädische Behandlungen so lange dauern und warum eine sehr gute Zahnpflege während kieferorthopädischer Behandlungen so wichtig ist.
Hauptbehandlungen
Die meisten Behandlungen beginnen in der Wechselgebiss-Phase II, d.h., wenn die Milchseitenzähne wechseln. Meist sind die Kinder dann zwischen neun und elf Jahre alt.
Kontrolltermine

Je nach Behandlungsgerät und Behandlungsart liegen die Kontrolltermine in unserer kieferorthopädischen Praxis in einem fünf bis sechs oder einem sechs bis sieben Wochenrhythmus.
Es kann aber auch durchaus Behandlungsphasen geben, in denen ein kürzerer Behandlungsrhythmus sinnvoll ist.
Mitarbeit
Sollte Ihr Kind aus einem wichtigen Grund einmal verhindert sein, den vereinbarten Termin wahrzunehmen, bitten wir um rechtzeitige Benachrichtigung, so dass wir mit Ihnen einen neuen Termin vereinbaren können.
Es ist wichtig für den reibungslosen Behandlungsfortschritt, dass der Rhythmus von Ihrer Seite eingehalten wird.
Die kieferorthopädischen Behandlungen dauern in der Regel zwischen drei und vier Jahren - eine lange Zeit, die Ihrem Kind Mitarbeit und Disziplin abverlangt. Wird durchgehalten, ist die Belohnung dann ein schönes Gebiss, das neben den positiven gesundheitlichen Aspekten, wie z.B. bessere Kaufähigkeit, längerer Zahnerhalt auch eine Verbesserung der Ästhetik zur Folge hat.
Frühbehandlung
In wenigen Ausnahmen machen kieferorthopädische Behandlungen zu einem früheren Zeitpunkt Sinn. Solch eine Ausnahme stellt z.B. ein Kreuzbiss dar, der dazu führt, dass wegen der falschen Verzahnung der Kiefer beim Zusammenbiss in eine verkehrte Richtung ausgelenkt wird und damit asymmetrisch wächst.
In solchen Fällen gehört die Kostenübernahme in die Leistungspflicht der gesetzlichen Krankenkasse. Diese Leistungspflicht ist auf eine Behandlungsdauer von 6 Quartalen, d.h. auf eineinhalb Jahre begrenzt. In der Regel reicht diese Zeit aus, um die Fehlentwicklung des Gebisses wieder in richtige Bahnen zu lenken.
Haben Sie das Gefühl, dass bei Ihrem Kind solche Fehlentwicklungen vorliegen, vereinbaren Sie einen Termin zur Beratung in der kieferorthopädischen Praxis.
Mehr zum Thema Kostenübernahme und Eigenanteilsrechnungen der kieferorthopädischen Behandlungen durch die gesetzlichen Krankenkassen finden Sie in der Rubrik Behandlungskosten.
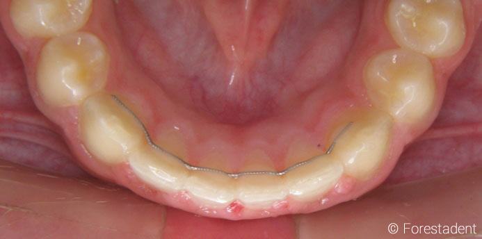
Retention
Nachdem die Behandlung mit der festsitzenden Zahnspange beendet ist, muss die erzielte Zahnstellung abgesichert werden. Dies geschieht in der Regel mit einer herausnehmbaren Zahnspange.
Zusätzlich besteht die Möglichkeit, das erreichte Ergebnis mit einem Retainer abzusichern. Dieser ist ein kleiner Draht, der von innen hinter die Zähne geklebt wird und die Zahnstellung fixiert. Diese Maßnahme ist allerdings nicht Bestandteil der Leistungspflicht der gesetzlichen Krankenkasse.
